KESIHATAN amat penting bagi semua orang. Sejak kecil kita didik untuk memastikan kita mempunyai kesihatan tubuh yang baik.
Namun, salah satu masalah kesihatan yang menyerang manusia adalah akibat kesan suka merokok.
Biarpun telah didedahkan bahaya akibat tabiat suka merokok, namun masih ada yang anggap ia remeh.
Inilah yang dikongsilah oleh Dr Mohd Syamirulah Rahim:
Sangka serangan asma
Lelaki ini berusia 24 tahun. Belum berkahwin. Bekerja sebagai pekerja am di sebuah kedai serbaneka.
Kita namakan dia sebagai “Ali”. Sudah tentu bukan nama sebenar.
Ali seorang yang rajin bekerja. Tinggal bersama ibunya dan adik perempuan, manakala ayahnya sudah meninggal dunia ketika Ali darjah enam.
Suatu tengah hari, Ali mengangkat barang dari lori ke stor tempat dia bekerja.
Bersama Ali, adalah dua orang rakan sekerjanya. Mereka bekerja di bawah terik matahari.
Seusai barang dialihkan, mereka bertiga pun lepak di bawah pohon yang rendang berhampiran.
Pemetik api dikongsi, tatkala masing-masing menghembuskan asap rokok berkepul-kepul.
Pulang ke rumah petang itu, Ali rasa badannya hangat. Seperti nak demam.
“Ah, mungkin sebab tengah hari tadi aku berjemur panas agaknya,” getus hati Ali.
Keesokan harinya, Ali demam suam-suam kuku. Mula batuk juga. Tapi Ali bekerja seperti biasa.
Hampir dua minggu demam Ali tidak kebah-kebah. Selera makannya mula berkurang, dan beliau kelihatan letih dan tercungap-cungap.
Batuknya semakin kuat dan kerap sehingga Ali kekurangan tidur di waktu malam.
“Engkau ni Ali, dah macam pesakit asma dah mak tengok! Jom ikut mak pergi hospital petang ini.”
Emak Ali mula bertegas setelah dua hari Ali tidak bekerja kerana keadaannya itu.
Sebaik tiba di Jabatan Kecemasan, Ali segera disorong ke ruangan asma. Sangka MA bertugas, Ali mengalami serangan asma.
“Tapi dia tak pernah ada asma sebelum ini,” ujar ibu Ali.
Ali terlalu tercungap-cungap untuk bercakap pun. Doktor segera datang, dan MA mengambil tanda vital signs Ali.
Tekanan darah Ali rendah, 100/70; nadinya pula laju, 120, sedangkan Ali tidaklah demam mana.
Suhu badannya 37.5 Celsius. Namun berpeluh. Basah katil stretcher tempat Ali dibaringkan.
Kandungan oksigen di dalam badannya (SPO2) nya rendah. 75% cuma.
Ali segera dibekalkan oksigen melalui face mask. Beliau disandarkan menegak. Saluran intravena dipasangkan dan cecair normal saline (NS) disalurkan masuk.
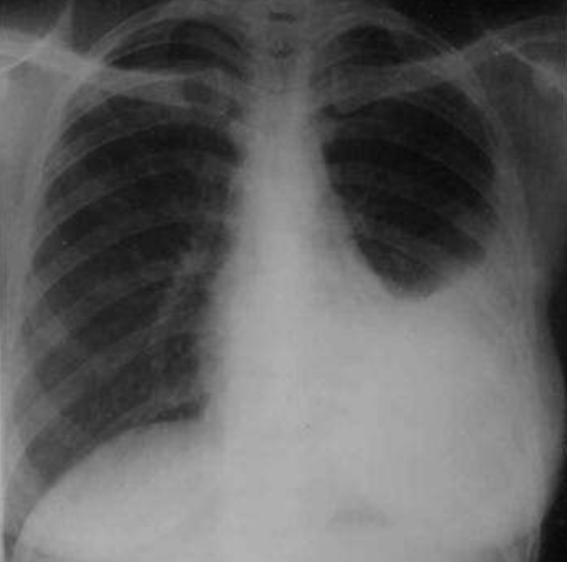
Juru x-ray berserta mesin x-ray mudah alih (portable x-ray) dipanggil.
Hasil keputusan x-ray menunjukkan paru-paru kiri Ali dipenuhi cecair.

Doktor segera membuat keputusan untuk “menebuk” paru-paru Ali.
Prosedur tersebut adalah thoracocentesis, iaitu cecair di ruangan pleura yang menyelimuti paru-paru Ali, perlu dikeluarkan.
Cecair ini sedang menekan paru-paru Ali menyebabkan ia tidak dapat kembang sepenuhnya.
Ali kini seperti orang kelemasan.
Apabila jarum ditusuk ke rongga pleura Ali, cecair berwarna keputihan kekuningan keluar, bagaikan teh tarik, namun lagi pekat.
Nanah. Ya, nanah.
Gambar yang saya lampirkan adalah gambar SEBENAR nanah yang dikeluarkan dari “Ali”.

Hampir 200ml cecair dikeluarkan namun tiada tanda-tanda ia akan habis.
Doktor memutuskan untuk menukar prosedur thoracocentesis dan memasukkan chest tube.
Sebuah tiub berdiameter hampir sebesar jari telunjuk, dimasukkan ke dalam rongga pleura Ali.
Tiub ini akan dipasang ke sebuah bekas vakum, yang akan terus terusan menyedut nanah dari ruang pleura paru-paru Ali.
Hampir satu liter nanah dikeluarkan.
Ali semakin stabil. Bacaan oksigennya sudah meningkat ke 98% dengan bantuan wayar oksigen (nasal prong).
Ali juga sudah tidak sesak nafas dan tidak lagi tercungap-cungap.
Ali dimasukkan ke wad untuk pemantauan. Chest tube tersebut akan dikekalkan sekurang-kurangnya tiga hari, setidaknya sehingga habis nanah dikeluarkan.
Ali pula perlu berada di wad untuk diberikan antibiotik kuat, Ceftriaxone, melalui saluran intravena untuk tempoh sekurang-kurangnya empat minggu.
Bermaksud, empat minggu Ali perlu berada di wad.
Dia perlu menjalani latihan physioterapi yang intensif bagi memastikan paru-paru beliau kembali kembang dan berfungsi seperti sediakala.
Jika tidak, dia bagaikan manusia yang hidup dengan sebelah paru-paru sahaja. Berjalan 100 meter, sudah tercungap kebiruan.
Jangkitan kuman pada paru-paru
Penyakit yang Ali hadapi ini namanya Lung Empyema atau Empyema Thoracis.
Ia berlaku kerana jangkitan kuman pada paru-paru. Orang sihat, kebiasaannya mampu “mengalahkan” kuman ini dengan mudah.
Namun bagi orang tertentu, mempunyai sistem imun yang lemah, jangkitan kuman yang biasa mudah sahaja merebak pantas, akhirnya membentuk koloni kuman yang besar seperti empyema.
Ali tidak pernah dijangkiti Batuk Kering (TB). Beliau juga tiada penyakit kronik seperti Kencing Manis, Darah Tinggi, atau jangkitan HIV
Dia cuma seorang pemuda berusia 24 tahun yang sihat tubuh badan, bekerja buruh dan hidup bersama keluarganya.
Oh ya, dia cuma merokok. Sekotak tiga hari. Sejak umur 17 tahun. Itu sahaja.
Merokok menyebabkan sistem imun badan terutamanya di kawasan paru-paru lemah. Kerana itulah perokok, lebih berisiko mendapat empyema berbanding orang lain.
Tanyalah mana-mana doktor, pasti pernah menjumpai dan merawat pesakit seperti Ali. Pesakit seperti Ali muncul sekurangnya sekali dalam dua bulan.
Di hospital besar khasnya, mesti ada at least seorang pesakit empyema at all time. Ini kerana pesakit seperti Ali ini perlu duduk lama di hospital. Empat minggu.
Penyakit empyema menyerang pesakit majoritinya lelaki berusia 20 hingga 40 tahun. Most productive age, kita kata.
Kesian, kan? Muda-muda sudah kena tahan wad sebulan. Kerja entah ke mana. Anak, bini, adik, emak entah siapa yang sara.
Majoriti kes empyema ini akan berulang. Puncanya adalah kerana risk factor masih ada. Iaitu pesakit masih merokok, tak serik-serik.
Recurrent empyema, akhirnya akan menjadi chronic lung disease. Umur 50 dah perlu bantuan oksigen sepenuh masa.
Rawatan untuk empyema ini agak sukar. Sebanyak 15 ke 50 peratus pesakit empyema gagal dirawat dan meninggal dunia atas pelbagai faktor.
Ali? Tiga hari di dalam wad, demam Ali masih tidak mahu kebah. Ali masih batuk-batuk kuat walaupun penatnya berkurangan.
Batuk dengan darah
Pada pagi hari ketiga, Ali batuk kuat. Macam nak tersembur paru-paru dari mulutnya. Tiba-tiba, tersembur darah bercampur kahak yang banyak.
Ali mengalami komplikasi yang dinamakan bronchopleural fistula. Jangkitan yang ada, memamah isi paru-paru Ali sehingga ke bronkus (saluran pernafasan).
Dalam masa beberapa minit, Ali pengsan. Pucat. Doktor berhempas pula cuba menyelamatkan. Masuk tiub pernafasan. Tekan dada. CPR.
Beberapa jam. Ali disahkan meninggal dunia. Pulmonary hemorrhage. Pendarahan dari salur darah arteri pulmonari yang cedera ketika Ali batuk kuat tersebut.
Lagi kita nak benarkan rokok dijual dengan lebih mudah didapati?
Sumber: Dr. Mohd Syamirulah Rahim, Medical Mythbusters Malaysia (M3)
*Artikel asal di Keluarga
Namun, salah satu masalah kesihatan yang menyerang manusia adalah akibat kesan suka merokok.
Biarpun telah didedahkan bahaya akibat tabiat suka merokok, namun masih ada yang anggap ia remeh.
Inilah yang dikongsilah oleh Dr Mohd Syamirulah Rahim:
Sangka serangan asma
Lelaki ini berusia 24 tahun. Belum berkahwin. Bekerja sebagai pekerja am di sebuah kedai serbaneka.
Kita namakan dia sebagai “Ali”. Sudah tentu bukan nama sebenar.
Ali seorang yang rajin bekerja. Tinggal bersama ibunya dan adik perempuan, manakala ayahnya sudah meninggal dunia ketika Ali darjah enam.
Suatu tengah hari, Ali mengangkat barang dari lori ke stor tempat dia bekerja.
Bersama Ali, adalah dua orang rakan sekerjanya. Mereka bekerja di bawah terik matahari.
Seusai barang dialihkan, mereka bertiga pun lepak di bawah pohon yang rendang berhampiran.
Pemetik api dikongsi, tatkala masing-masing menghembuskan asap rokok berkepul-kepul.
Pulang ke rumah petang itu, Ali rasa badannya hangat. Seperti nak demam.
“Ah, mungkin sebab tengah hari tadi aku berjemur panas agaknya,” getus hati Ali.
Keesokan harinya, Ali demam suam-suam kuku. Mula batuk juga. Tapi Ali bekerja seperti biasa.
Hampir dua minggu demam Ali tidak kebah-kebah. Selera makannya mula berkurang, dan beliau kelihatan letih dan tercungap-cungap.
Batuknya semakin kuat dan kerap sehingga Ali kekurangan tidur di waktu malam.
“Engkau ni Ali, dah macam pesakit asma dah mak tengok! Jom ikut mak pergi hospital petang ini.”
Emak Ali mula bertegas setelah dua hari Ali tidak bekerja kerana keadaannya itu.
Sebaik tiba di Jabatan Kecemasan, Ali segera disorong ke ruangan asma. Sangka MA bertugas, Ali mengalami serangan asma.
“Tapi dia tak pernah ada asma sebelum ini,” ujar ibu Ali.
Ali terlalu tercungap-cungap untuk bercakap pun. Doktor segera datang, dan MA mengambil tanda vital signs Ali.
Tekanan darah Ali rendah, 100/70; nadinya pula laju, 120, sedangkan Ali tidaklah demam mana.
Suhu badannya 37.5 Celsius. Namun berpeluh. Basah katil stretcher tempat Ali dibaringkan.
Kandungan oksigen di dalam badannya (SPO2) nya rendah. 75% cuma.
Ali segera dibekalkan oksigen melalui face mask. Beliau disandarkan menegak. Saluran intravena dipasangkan dan cecair normal saline (NS) disalurkan masuk.
Juru x-ray berserta mesin x-ray mudah alih (portable x-ray) dipanggil.
Hasil keputusan x-ray menunjukkan paru-paru kiri Ali dipenuhi cecair.

Doktor segera membuat keputusan untuk “menebuk” paru-paru Ali.
Prosedur tersebut adalah thoracocentesis, iaitu cecair di ruangan pleura yang menyelimuti paru-paru Ali, perlu dikeluarkan.
Cecair ini sedang menekan paru-paru Ali menyebabkan ia tidak dapat kembang sepenuhnya.
Ali kini seperti orang kelemasan.
Apabila jarum ditusuk ke rongga pleura Ali, cecair berwarna keputihan kekuningan keluar, bagaikan teh tarik, namun lagi pekat.
Nanah. Ya, nanah.
Gambar yang saya lampirkan adalah gambar SEBENAR nanah yang dikeluarkan dari “Ali”.

Hampir 200ml cecair dikeluarkan namun tiada tanda-tanda ia akan habis.
Doktor memutuskan untuk menukar prosedur thoracocentesis dan memasukkan chest tube.
Sebuah tiub berdiameter hampir sebesar jari telunjuk, dimasukkan ke dalam rongga pleura Ali.
Tiub ini akan dipasang ke sebuah bekas vakum, yang akan terus terusan menyedut nanah dari ruang pleura paru-paru Ali.
Hampir satu liter nanah dikeluarkan.
Ali semakin stabil. Bacaan oksigennya sudah meningkat ke 98% dengan bantuan wayar oksigen (nasal prong).
Ali juga sudah tidak sesak nafas dan tidak lagi tercungap-cungap.
Ali dimasukkan ke wad untuk pemantauan. Chest tube tersebut akan dikekalkan sekurang-kurangnya tiga hari, setidaknya sehingga habis nanah dikeluarkan.
Ali pula perlu berada di wad untuk diberikan antibiotik kuat, Ceftriaxone, melalui saluran intravena untuk tempoh sekurang-kurangnya empat minggu.
Bermaksud, empat minggu Ali perlu berada di wad.
Dia perlu menjalani latihan physioterapi yang intensif bagi memastikan paru-paru beliau kembali kembang dan berfungsi seperti sediakala.
Jika tidak, dia bagaikan manusia yang hidup dengan sebelah paru-paru sahaja. Berjalan 100 meter, sudah tercungap kebiruan.
Jangkitan kuman pada paru-paru
Penyakit yang Ali hadapi ini namanya Lung Empyema atau Empyema Thoracis.
Ia berlaku kerana jangkitan kuman pada paru-paru. Orang sihat, kebiasaannya mampu “mengalahkan” kuman ini dengan mudah.
Namun bagi orang tertentu, mempunyai sistem imun yang lemah, jangkitan kuman yang biasa mudah sahaja merebak pantas, akhirnya membentuk koloni kuman yang besar seperti empyema.
Ali tidak pernah dijangkiti Batuk Kering (TB). Beliau juga tiada penyakit kronik seperti Kencing Manis, Darah Tinggi, atau jangkitan HIV
Dia cuma seorang pemuda berusia 24 tahun yang sihat tubuh badan, bekerja buruh dan hidup bersama keluarganya.
Oh ya, dia cuma merokok. Sekotak tiga hari. Sejak umur 17 tahun. Itu sahaja.
Merokok menyebabkan sistem imun badan terutamanya di kawasan paru-paru lemah. Kerana itulah perokok, lebih berisiko mendapat empyema berbanding orang lain.
Tanyalah mana-mana doktor, pasti pernah menjumpai dan merawat pesakit seperti Ali. Pesakit seperti Ali muncul sekurangnya sekali dalam dua bulan.
Di hospital besar khasnya, mesti ada at least seorang pesakit empyema at all time. Ini kerana pesakit seperti Ali ini perlu duduk lama di hospital. Empat minggu.
Penyakit empyema menyerang pesakit majoritinya lelaki berusia 20 hingga 40 tahun. Most productive age, kita kata.
Kesian, kan? Muda-muda sudah kena tahan wad sebulan. Kerja entah ke mana. Anak, bini, adik, emak entah siapa yang sara.
Majoriti kes empyema ini akan berulang. Puncanya adalah kerana risk factor masih ada. Iaitu pesakit masih merokok, tak serik-serik.
Recurrent empyema, akhirnya akan menjadi chronic lung disease. Umur 50 dah perlu bantuan oksigen sepenuh masa.
Rawatan untuk empyema ini agak sukar. Sebanyak 15 ke 50 peratus pesakit empyema gagal dirawat dan meninggal dunia atas pelbagai faktor.
Ali? Tiga hari di dalam wad, demam Ali masih tidak mahu kebah. Ali masih batuk-batuk kuat walaupun penatnya berkurangan.
Batuk dengan darah
Pada pagi hari ketiga, Ali batuk kuat. Macam nak tersembur paru-paru dari mulutnya. Tiba-tiba, tersembur darah bercampur kahak yang banyak.
Ali mengalami komplikasi yang dinamakan bronchopleural fistula. Jangkitan yang ada, memamah isi paru-paru Ali sehingga ke bronkus (saluran pernafasan).
Dalam masa beberapa minit, Ali pengsan. Pucat. Doktor berhempas pula cuba menyelamatkan. Masuk tiub pernafasan. Tekan dada. CPR.
Beberapa jam. Ali disahkan meninggal dunia. Pulmonary hemorrhage. Pendarahan dari salur darah arteri pulmonari yang cedera ketika Ali batuk kuat tersebut.
Lagi kita nak benarkan rokok dijual dengan lebih mudah didapati?
Sumber: Dr. Mohd Syamirulah Rahim, Medical Mythbusters Malaysia (M3)
*Artikel asal di Keluarga
Setiap Sabtu dan Ahad, AstroAwani.com membawakan artikel santai dan merangkumi pelbagai topik menarik seperti pelancongan, permotoran, gaya hidup, hobi, kekeluargaan, kesihatan, pengetahuan am, trivia dan banyak lagi. Ikuti #SantaiHujungMinggu !